Smile Makeover For Advanced Users
June 12, 2019
This is an advanced case and won’t make any sense unless you have taken our course on digital dentistry. If you are an advanced user, watch how we break this complex case up into many small manageable segments to create full arch impressions of multiple prepared teeth.
Take note of the fact how the buccal bite is captured over a long course of time. This indicates that the arches are related to each other properly and we have not lost track of the bite. Pay attention to how we operate “independent of time and sequence.”


Anterior preps scanned along with the opposing and the initial bite

segmental imaging to building a master model

upper and lower models related to each other for design

screenshot and margin placement in exocad
Immediate Post Op
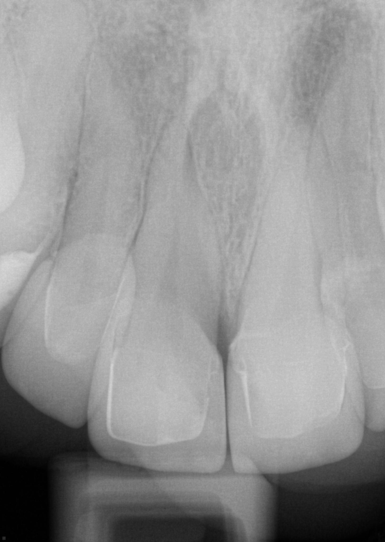
Post op intra-oral scan with Medit i500 to capture irritated and hemorrhaging tissue (for demonstration purposes only)

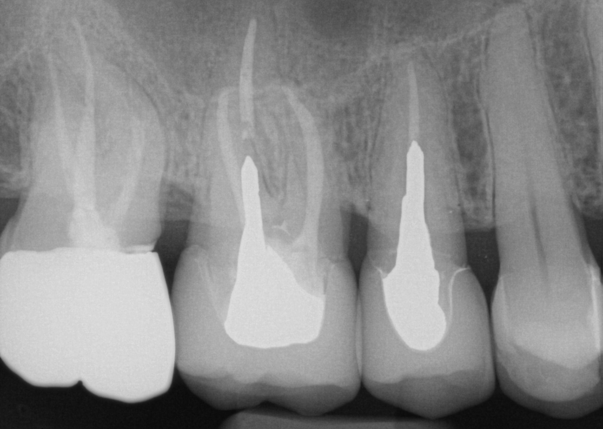
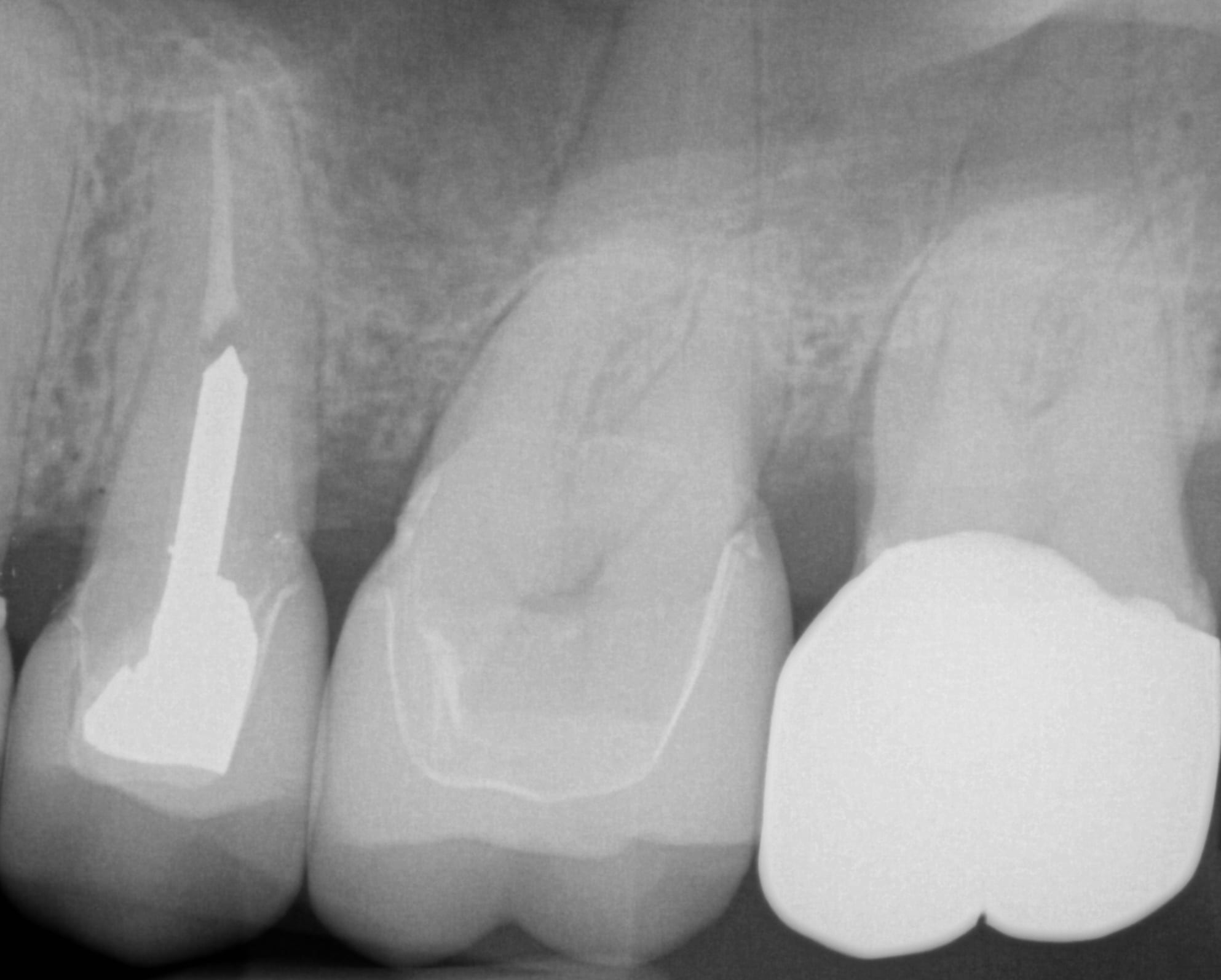
One Month Post Op with Radiographs












