Premolar Crown Restoration from a Triple Tray and a Desktop Scanner
July 31, 2018
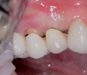
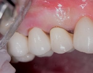
Another case delivered with the triple tray technique and the MeditT500 desktop scanner. The H&H technique was used to capture the margins and bite and there were no adjustments made to the contacts or the occlusion after delivery of the crown.
The scan, design, and fabrication was done by Burbank Dental Lab

