Crisp Margins that Pop Out!
September 12, 2018
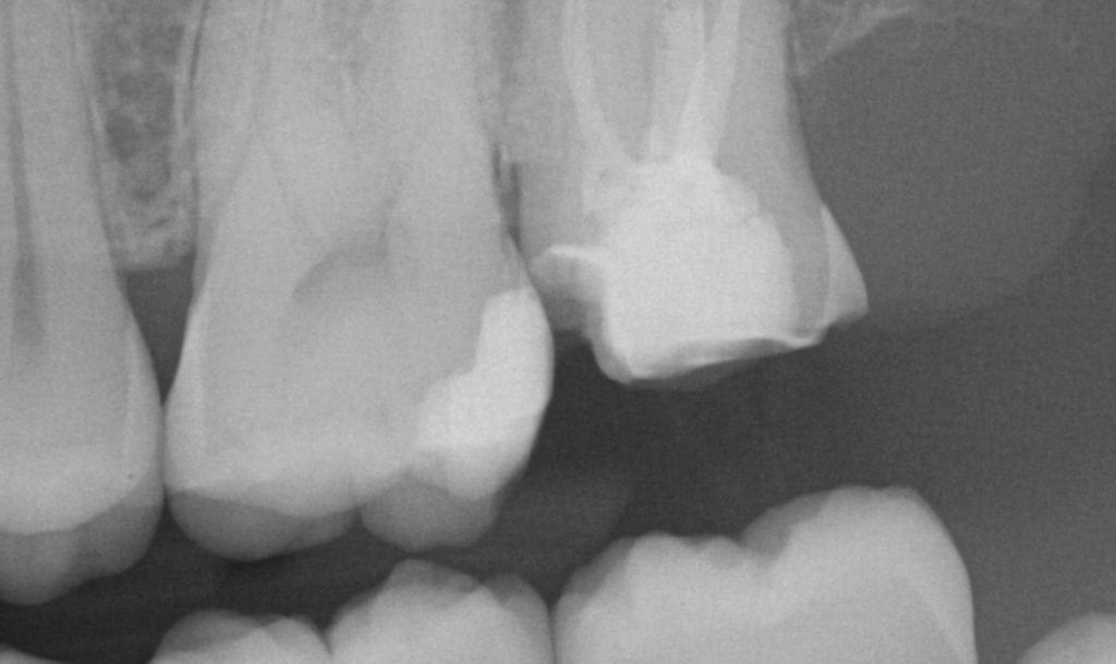
It was a long struggle to find margins with the Omnicam and after 4 years it was sold. The margin definition and resolution never reached an acceptable level. After seeing margins from high resolution scans by the Medit and defining them in exocad, it completely validated that we shouldn’t settle for anything less than the highest standard. This is an scan performed on a upper second molar with tough access, replacing a failing crown.
Download STL
Download OBJ
Download PLY
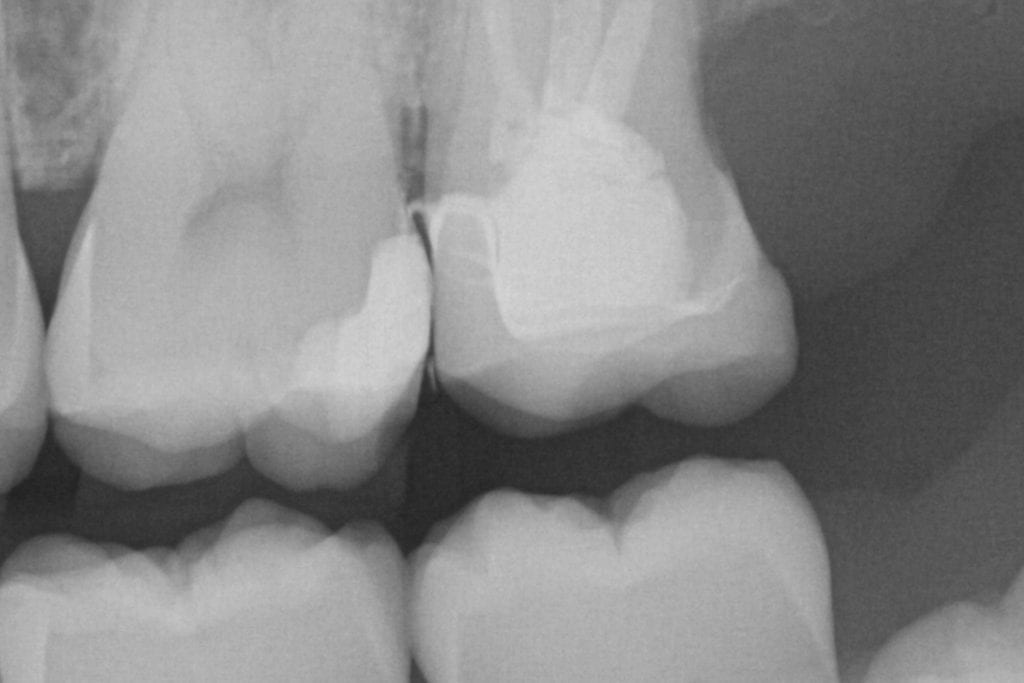
LAST X-RAY IS IMMEDIATE POST OP- EXCESS CEMENT WAS REMOVED AFTER FILM CHECK


